메디인테크는 AI와 로보틱스 기술로 내시경 의료의 한계를 넘어,
전 세계 진단·치료 표준을 새롭게 정의합니다.
메디인테크는 인공지능과 로보틱스 기술을 바탕으로 내시경 분야에 새로운 혁신을 불러오고 있습니다.
정밀하고 안정적인 조작 환경과 경량화를 실현했으며, 인공지능 기반의 술기 보조 기능을 통해 시술자의
부담을 줄이고 시술의 정확성과 일관성을 향상시켰습니다.
또한 이상부위를 실시간으로 탐지하고 분류함으로써, 내시경 진단의 정확성과 임상 판단의 효율성을 높입니다.
메디인테크는 지속적인 연구개발과 기술 혁신을 통해 의료진과 환자 모두에게 더 나은 진료 환경을 제공하고,
글로벌 의료 솔루션 기업으로 도약해 나가고 있습니다.
Endoscopic Imaging System
Endoscopic Imaging System
Endoscopic Imaging System
Endoscopic Imaging System
GI Endoscope
GI Endoscope
GI Endoscope
GI Endoscope
Bronchoscope
Bronchoscope
AI-based Autonomous Control
전동화된 내시경 기술과 AI 기반 자동 제어 기능을 결합하여,
의료진이 보다 안정적이고 효율적으로 검사를 진행할 수 있도록 지원합니다.
전동화로 실현된 메디인테크의 AI기반 자동 제어 기술
* 이미지에 마우스를 올리시면 Autonomous 기능을 확인하실 수 있습니다.
AI가 진입 부위를 탐지하고, 진입 부위를 향해 내시경 끝단의 조향을 보조합니다.
AI가 이상부위를 탐지하고, 내시경 끝단의 조향을 보조하여
이상부위를 화면 중앙에 위치시켜줍니다.
AI가 이상부위를 탐지하고, 길이를 추정합니다.
메디인테크의 AI 기반 이상부위 탐지 소프트웨어
* 이미지에 마우스를 올리시면 CADe 기능을 확인하실 수 있습니다.
메디인테크의 AI 기반 이상부위 분류 소프트웨어
* 이미지에 마우스를 올리시면 CADx 기능을 확인하실 수 있습니다.
메디인테크 내시경 트레이닝 센터
We design and build digital products people enjoy using...
Hey! Recently we were working on a project for ..We design and build digital products people enjoy using...
We are a Creative Digital Agency based in Buenos Aires, Argentina. We take pride in designing and building...
A new project is an opportunity to create something unique.We are a Creative Digital Agency based in Buenos Aires, Argentina. We take pride in designing and building...
As an interdisciplinary agile team, our production process is flexible, collaborative, and adapts to each client’s needs
We look forward to working with you on your next projectAs an interdisciplinary agile team, our production process is flexible, collaborative, and adapts to each client’s needs
We are working on the UX/UI design for a large hotel owners and hospitality management company.
Style Tiles are always a good option to show work in progress!We are working on the UX/UI design for a large hotel owners and hospitality management company.
More shots with final designs coming soon.
You can check the attachment for a full view..More shots with final designs coming soon.
we streamline the process without having to make multiple mockups.
This is a proposal to add value to a crowdfunding listing pagewe streamline the process without having to make multiple mockups.
Style tiles serve as a flexible starting point that helps us easily communicate the essence of a visual brand for the web.
Clients easily understand themStyle tiles serve as a flexible starting point that helps us easily communicate the essence of a visual brand for the web.
We are working on an exciting project for a company in the investment business. Stay tuned!
we have a lot of fun during this phase.We are working on an exciting project for a company in the investment business. Stay tuned!
We design and build digital products people enjoy using...
Hey! Recently we were working on a project for ..We design and build digital products people enjoy using...
We are a Creative Digital Agency based in Buenos Aires, Argentina. We take pride in designing and building...
A new project is an opportunity to create something unique.We are a Creative Digital Agency based in Buenos Aires, Argentina. We take pride in designing and building...
As an interdisciplinary agile team, our production process is flexible, collaborative, and adapts to each client’s needs
We look forward to working with you on your next projectAs an interdisciplinary agile team, our production process is flexible, collaborative, and adapts to each client’s needs
We are working on the UX/UI design for a large hotel owners and hospitality management company.
Style Tiles are always a good option to show work in progress!We are working on the UX/UI design for a large hotel owners and hospitality management company.
More shots with final designs coming soon.
You can check the attachment for a full view..More shots with final designs coming soon.
we streamline the process without having to make multiple mockups.
This is a proposal to add value to a crowdfunding listing pagewe streamline the process without having to make multiple mockups.
Style tiles serve as a flexible starting point that helps us easily communicate the essence of a visual brand for the web.
Clients easily understand themStyle tiles serve as a flexible starting point that helps us easily communicate the essence of a visual brand for the web.
We are working on an exciting project for a company in the investment business. Stay tuned!
we have a lot of fun during this phase.We are working on an exciting project for a company in the investment business. Stay tuned!
We design and build digital products people enjoy using...
Hey! Recently we were working on a project for ..We design and build digital products people enjoy using...
We are a Creative Digital Agency based in Buenos Aires, Argentina. We take pride in designing and building...
A new project is an opportunity to create something unique.We are a Creative Digital Agency based in Buenos Aires, Argentina. We take pride in designing and building...
As an interdisciplinary agile team, our production process is flexible, collaborative, and adapts to each client’s needs
We look forward to working with you on your next projectAs an interdisciplinary agile team, our production process is flexible, collaborative, and adapts to each client’s needs
We are working on the UX/UI design for a large hotel owners and hospitality management company.
Style Tiles are always a good option to show work in progress!We are working on the UX/UI design for a large hotel owners and hospitality management company.
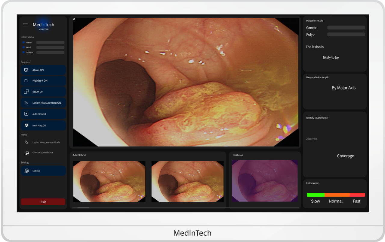
메디인테크의 MD-SC-300과 MD-CC-300은 의료진이 육안으로 놓칠 수 있는 미세한 병변까지 탐지하고 분류하여 진단의 정확성을 향상시킵니다.
MD-SC-300은 Malignant와 Benign 여부를 구분하고, MD-CC-300은 Cancer와 Polyp을 구분합니다.
또한, 이상부위의 길이를 자동으로 측정하고 확인된 부위를 분류하여 표시해줌으로써 의료진이 더욱 정밀한 진단을 내릴 수 있도록 돕습니다.
민감도 90% ▲ 특이도 90% ▲
민감도 90% ▲ 특이도 90% ▲
* 이미지에 마우스를 올리시면 CADx 기능을 확인하실 수 있습니다.
60 Daehak-ro, Jongno-gu, Seoul, Republic of Korea
+82-2-6367-6367
contact@medintech.co.kr
MedInTech Headquarters
223 Yulgok-ro, Jongno-gu, Seoul, Republic of Korea
+82-2-6367-6367
contact@medintech.co.kr
MedInTech Manufacturing Facility
20 Geumo-ro, Mulgeum-eup, Yangsan-si, Gyeongsangnam-do, Republic of Korea
+82-2-6367-6367
contact@medintech.co.kr
MedInTech Yangsan Branch